Infiltración ósea atípica en leucemia linfocítica crónica: resolución clínica con inhibidor de BTK tras fracaso de quimioterapia convencional
Atypical bone involvement in chronic lymphocytic leukemia: clinical response to BTK inhibition after chemotherapy failure
Montiel Alfonso MA1; Ovando JM2; García Machado J1; Cardozo L2
1Servicio de Clínica Médica I, Departamento de Medicina Interna, Hospital Central del Instituto de Previsión Social. Asunción, Paraguay.
2Servicio de Hematología. Hospital Central del Instituto de Previsión Social. Asunción, Paraguay.
ORCID:
1. Miguel Ángel Montiel Alfonso: https://orcid.org/0000-0002-9541-4614
2. José Manuel Ovando: https://orcid.org/0009-0008-4543-8598
3. José García Machado: https://orcid.org/0000-0002-6345-9930
4. Lorena Cardozo Villagra: https://orcid.org/0000-0001-6318-3957
Palabras claves: leucemia linfocítica crónica,
infiltración ósea,
inhibidor de BTK,
ibrutinib,
hipercalcemia.
Keywords: chronic lymphocytic leukemia,
bone infiltration,
BTK inhibitor,
ibrutinib,
hypercalcemia.
Resumen
La leucemia linfocítica crónica (LLC) es una neoplasia linfoide de curso indolente, cuyas manifestaciones habituales incluyen linfocitosis, linfadenopatías y esplenomegalia. El compromiso óseo es extremadamente infrecuente, especialmente en pacientes jóvenes, y suele asociarse a enfermedad refractaria. Presentamos el caso de un varón de 31 años con diagnóstico de LLC estadio RAI IV en enero de 2023, tratado inicialmente con metilprednisolona a altas dosis y posteriormente con siete ciclos de fludarabina, ciclofosfamida y rituximab (FCR), alcanzando remisión clínica completa en septiembre, con normalización de parámetros hematológicos y ausencia de adenomegalias o esplenomegalia al examen físico. Durante el seguimiento desarrolló deformidades craneofaciales, hiperplasia gingival y exoftalmos. Las imágenes mostraron infiltración ósea difusa en escápulas, húmeros y articulaciones esternoclaviculares. Se detectó hipercalcemia maligna, asociada a fractura patológica del húmero derecho. La biopsia de calota evidenció médula ósea hipercelular con un 25 % de infiltración por LLC. La citometría de flujo confirmó linfocitos B clonales. Se inició tratamiento con ácido zoledrónico e ibrutinib, con resolución completa de las lesiones óseas y gingivales. Este caso refleja una manifestación atípica y agresiva de LLC en un paciente joven, con progresión clínica pese a quimioterapia estándar. La infiltración ósea extensa puede simular otras neoplasias hematológicas o metastásicas, dificultando el diagnóstico. El uso de inhibidores de la tirosina quinasa de Bruton (BTK), como ibrutinib, permitió un control eficaz de la enfermedad en este escenario complejo.
ABSTRACT
Chronic lymphocytic leukemia (CLL) is an indolent lymphoid neoplasm typically presenting with lymphocytosis, lymphadenopathy, and splenomegaly. Bone involvement is extremely rare, especially in young patients, and is usually associated with refractory disease. We present the case of a 31-year-old male diagnosed with Rai stage IV chronic lymphocytic leukemia (CLL) in January 2023, initially treated with high-dose methylprednisolone and subsequently with seven cycles of fludarabine, cyclophosphamide, and rituximab (FCR), achieving complete clinical remission in September, with normalization of hematological parameters and absence of lymphadenopathy or splenomegaly on physical examination. During outpatient follow-up, he developed craniofacial deformities, gingival hyperplasia, and bilateral exophthalmos. Imaging revealed diffuse bone infiltration involving the scapulae, humeri, and sternoclavicular joints. Laboratory tests showed malignant hypercalcemia, associated with a non-traumatic pathological fracture of the right humerus. A skull bone marrow biopsy revealed a hypercellular marrow with 25% infiltration by CLL. Flow cytometry confirmed residual clonal B-cell population. The patient was treated with zoledronic acid and subsequently started on ibrutinib, leading to complete resolution of both bone and gingival lesions. This case illustrates an atypical and aggressive skeletal presentation of CLL in a young adult, with clinical progression despite standard chemoimmunotherapy. Extensive bone involvement may mimic other hematologic malignancies or metastatic tumors, posing a diagnostic challenge. Targeted therapy with Bruton’s tyrosine kinase (BTK) inhibitors, such as ibrutinib, proved effective in achieving disease control in this rare and complex clinical scenario.
Introducción
La leucemia linfocítica crónica (LLC) es la neoplasia linfoide más frecuente en adultos en países occidentales, con una incidencia estimada de 4 a 5 casos por cada 100.000 habitantes por año y una mediana de edad al diagnóstico de aproximadamente 70 años(1). Representa entre el 25 y el 30 % de las leucemias en adultos, con una mayor prevalencia en hombres(2). En regiones de Latinoamérica, aunque los datos son menos extensos, se ha observado un patrón similar en cuanto a distribución etaria y predominio masculino(3).
La LLC se caracteriza por la expansión clonal de linfocitos B maduros y funcionalmente incompetentes, que se acumulan en sangre periférica, médula ósea y órganos linfoides(1). Su curso clínico suele ser indolente, y muchos pacientes permanecen asintomáticos durante años. Las manifestaciones clínicas más comunes incluyen linfocitosis persistente, linfadenopatías, esplenomegalia y citopenias secundarias a infiltración medular(1,4).
El compromiso óseo clínicamente significativo en LLC es extremadamente inusual, particularmente en pacientes jóvenes. Las manifestaciones esqueléticas como deformidades óseas, fracturas patológicas o hipercalcemia suelen asociarse a enfermedad avanzada o refractaria, y pueden simular otras entidades hematológicas o neoplasias metastásicas, dificultando el diagnóstico(5,6).
En la última década, los tratamientos dirigidos, especialmente los inhibidores de la tirosina quinasa de Bruton (BTK) como ibrutinib, han revolucionado el tratamiento de la LLC, ofreciendo respuestas profundas y sostenidas incluso en contextos clínicos de alto riesgo o refractariedad a quimioterapia convencional(7).
En este artículo se presenta el caso de un paciente joven con LLC que desarrolló una inusual infiltración ósea extensa y manifestaciones craneofaciales, tras progresión clínica post-quimioterapia, con excelente respuesta clínica tras el inicio de tratamiento con inhibidor de BTK.
Presentación del caso
Se presenta el caso de un paciente varón de 31 años, previamente sano, sin antecedentes familiares de enfermedades hematológicas ni exposición ocupacional a agentes tóxicos, que consultó en enero de 2023 por síndrome constitucional, linfocitosis progresiva y anemia normocítica. El examen físico reveló linfadenopatías cervicales y axilares bilaterales, así como esplenomegalia palpable a 3 cm del reborde costal. Los estudios iniciales de laboratorio mostraron leucocitosis con linfocitosis absoluta, hemoglobina de 9,8 g/dL y recuento plaquetario conservado. La inmunofenotipificación por citometría de flujo de sangre periférica evidenció una población monoclonal de linfocitos B con expresión de CD5, CD19, CD23 y débil expresión de superficie IgM, CD20 y FMC7, compatible con LLC. La biopsia de médula ósea confirmó la infiltración linfocítica. Fue clasificado como LLC estadio RAI IV.
Inicialmente recibió tratamiento con metilprednisolona a dosis altas debido a síntomas constitucionales severos y citopenias. Posteriormente, se instauró un esquema de quimioinmunoterapia con fludarabina, ciclofosfamida y rituximab (FCR), completando siete ciclos entre febrero y agosto de 2023. Al finalizar el tratamiento, el paciente presentó mejoría clínica significativa, normalización de los parámetros hematológicos y ausencia de adenomegalias o esplenomegalia al examen físico, compatible con remisión clínica completa, en seguimiento ambulatorio.
Sin embargo, entre octubre y noviembre de 2023, comenzó a presentar manifestaciones clínicas atípicas que incluían exoftalmos bilateral, hiperplasia gingival de rápida progresión y deformidad progresiva de la región frontal y maxilar (Figuras 1A y 1B).
![]()
![]()

Figura 1A. Imagen clínica que muestra prominencia de huesos frontales y base nasal aplanada, observándose también asimetría facial y ligero exoftalmos bilateral. 1B. Hiperplasia gingival difusa, con engrosamiento del tejido gingival en ambas arcadas.
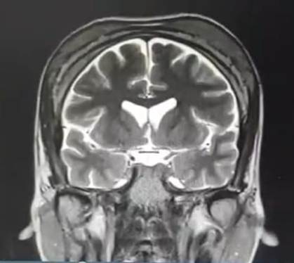
La exploración física reveló protrusiones óseas en la región frontoparietal y en la arcada maxilar superior, sin compromiso neurológico evidente. Se realizó resonancia magnética de encéfalo (Figura 2), que evidenció infiltración ósea difusa con engrosamiento cortical del hueso frontal y maxilar. No se identificaron lesiones osteolíticas focales en ese entonces.

Figura 2. Resonancia magnética cerebral en secuencia coronal T2 donde se evidencia infiltración ósea difusa en calota craneana, con engrosamiento de la tabla interna y externa. No se observa compresión de estructuras intracraneales.
En cuanto a alteraciones esqueléticas, el paciente presentó dolor en hombro derecho sin antecedente traumático, asociado a limitación funcional progresiva. Los estudios de laboratorio revelaron hipercalcemia severa (calcio corregido: 14,6 mg/dL), con PTH suprimida, sin elevación de PTHrP ni signos de mieloma múltiple (proteinograma sin componente monoclonal). La radiografía simple mostró fractura no traumática de la diáfisis del húmero proximal derecho (Figura 3). Se instauró tratamiento con hidratación intravenosa, ácido zoledrónico y manejo del dolor, con respuesta parcial.

Figura 3. Radiografía del brazo derecho (proyecciones anteroposterior y lateral) que muestra fractura diafisaria del húmero derecho, sobre hueso patológico con patrón lítico generalizado, sugestivo de infiltración ósea difusa.
Ante la sospecha de compromiso óseo por infiltración leucémica, se realizó una biopsia osteomedular de la calota craneal, que reveló una médula ósea hipercelular (70%) con hematopoyesis activa y un 25% de infiltración por linfocitos pequeños de morfología madura. La citometría de flujo confirmó un 4,84% de linfocitos B monoclonales con un inmunofenotipo compatible con la LLC previamente diagnosticada. La biopsia ósea mostró infiltración por linfocitos pequeños de aspecto maduro, con patrón de crecimiento compacto y difuso, sin evidencia de células grandes. Los linfocitos fueron predominantemente de tipo B CD20+, con coexpresión intensa de CD5 y CD23, sin marcación para CD10 ni ciclina D1.
Frente a la progresión clínica con compromiso óseo inusual, hipercalcemia maligna y recaída post-quimioterapia, se decidió iniciar tratamiento de rescate con ciclofosfamida y un inhibidor de BTK (ibrutinib 420 mg/día). A las 6 semanas de iniciado el tratamiento, se evidenció remisión de la hiperplasia gingival, resolución de las protrusiones óseas frontales y maxilares, y normalización del calcio sérico (Figuras 4A y 4B). El paciente evolucionó favorablemente, sin eventos adversos relevantes asociados a la terapia dirigida.
![]()
![]()


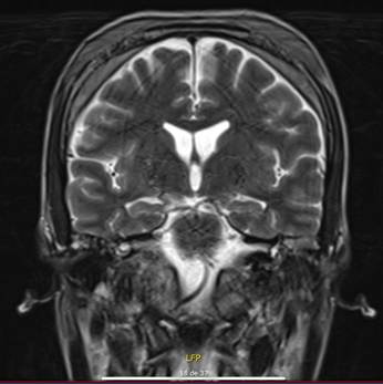
Figura 4A. Fotografía clínica intraoral que evidencia la mejoría de la hiperplasia gingival tras tratamiento con ibrutinib. Se observa resolución de la infiltración gingival previamente documentada, con normalización del contorno gingival y disminución del volumen de los tejidos blandos. 4B. Imagen de control post-tratamiento, donde se observa reducción en el grado de infiltración ósea de la calota craneana en comparación con estudios previos.
Discusión
La LLC es una neoplasia hematológica caracterizada por la proliferación de linfocitos B maduros y monoclonales, con disfunción inmunológica y acumulación progresiva en médula ósea, sangre periférica y órganos linfoides(1). Su incidencia global varía entre 4 y 5 casos por cada 100 000 habitantes/año, con predominio masculino y diagnóstico habitual en mayores de 65 años(2,3). La presentación en adultos jóvenes, como en este caso (31 años), representa menos del 1 % de los diagnósticos y suele asociarse a formas más agresivas(4).
Desde el punto de vista fisiopatológico, la LLC involucra alteraciones genéticas y del microambiente celular. Anomalías como la deleción 17p, mutación en TP53 o expresión de ZAP-70 y CD38 confieren un peor pronóstico y resistencia a terapias convencionales(1). Aunque no se documentó el perfil genético completo en este paciente, la progresión clínica precoz tras FCR sugiere una biología de alto riesgo.
Las manifestaciones clínicas incluyen linfocitosis persistente, linfadenopatías, esplenomegalia, síntomas constitucionales y citopenias(1,4). Las presentaciones atípicas, como el compromiso óseo difuso con protrusiones craneofaciales, exoftalmos, hiperplasia gingival y fracturas patológicas, son extremadamente raras. La afectación ósea en LLC suele reportarse como hallazgo incidental o en enfermedad avanzada(5). En este caso, las lesiones óseas fueron sintomáticas, extensas y clínicamente relevantes, asociadas además a hipercalcemia, una complicación rara pero descrita(6).
El diagnóstico de LLC se establece por citometría de flujo en sangre periférica, demostrando una población monoclonal B CD5+, CD19+, CD23+, con expresión débil de Ig de superficie y CD20(1,4). La biopsia de médula ósea y la imagenología ósea confirmaron la recaída con infiltración ósea activa en nuestro paciente.
Un aspecto relevante señalado en la literatura es el posible papel del ligando RANK en la destrucción ósea asociada a LLC, así como la evaluación de la actividad osteoclástica en biopsias óseas(5, 6). En nuestro caso, estas determinaciones no pudieron realizarse debido a que el centro asistencial no dispone de las técnicas necesarias para su análisis y, además, el paciente y sus familiares carecían de los recursos económicos para solicitarlos en laboratorios privados. Reconocemos que dichos estudios habrían aportado información valiosa sobre los mecanismos fisiopatológicos implicados en la extensa infiltración ósea observada. Esta limitación refleja la realidad de muchos hospitales en países de ingresos medios, donde el acceso a pruebas especializadas continúa siendo restringido, y subraya la necesidad de fortalecer las capacidades diagnósticas locales para mejorar la caracterización de presentaciones atípicas de neoplasias hematológicas.
El tratamiento inicial en pacientes jóvenes y sintomáticos suele incluir quimioinmunoterapia con FCR, con tasas de respuesta completas cercanas al 70 %(1,4). Sin embargo, la recaída o progresión tras FCR requiere estrategias de segunda línea. En este contexto, el uso de inhibidores de la BTK como ibrutinib ha mostrado tasas de respuesta elevadas, con mejoría de la supervivencia libre de progresión, incluso en pacientes con características genéticas desfavorables(7,9). En nuestro paciente, el inicio de ibrutinib condujo a una mejoría clínica notable, con resolución de infiltración ósea, remisión de la hiperplasia gingival y normalización del calcio sérico.
El pronóstico en LLC es altamente variable. La evolución agresiva, recaída temprana, manifestaciones atípicas y necesidad de tratamiento de rescate precoz son factores de mal pronóstico(1). No obstante, el desarrollo de terapias dirigidas ha permitido modificar la historia natural de la enfermedad en escenarios antes considerados de difícil manejo(7).
Este caso destaca una forma de presentación inusual de la LLC con compromiso esquelético clínicamente significativo en un paciente joven, subrayando la necesidad de un enfoque diagnóstico amplio y la utilidad terapéutica de los inhibidores de BTK en contextos clínicos complejos.
Bibliografía
1. Hallek M. Chronic lymphocytic leukemia: 2020 update on diagnosis, risk stratification and treatment. Am J Hematol. 2019;94(11):1266-87.
2. Siegel RL, Miller KD, Jemal A. Cancer statistics, 2023. CA Cancer J Clin. 2023;73(1):17-48.
3. Paredes AC, Zubieta-deVillavicencio JL et al. Chronic lymphocytic leukemia in Latin America: A review of published data. Rev Hematol Mex. 2019;20(1):32-9.
4. Eichhorst B, Robak T, Montserrat E et al. Chronic lymphocytic leukaemia: ESMO Clinical Practice Guidelines for diagnosis, treatment and follow-up. Ann Oncol. 2021;32(1):23-33.
5. Lad D, Samant RS, Baliga V. Osseous involvement in chronic lymphocytic leukemia: A rare presentation. Clin Case Rep. 2020;8(5):957-60.
6. Diwan AG, Mahajan SN. Hypercalcemia: A rare complication of chronic lymphocytic leukemia. Indian J Hematol Blood Transfus. 2012;28(2):121-3.
7. Byrd JC, Furman RR, Coutre SE et al. Targeting BTK with ibrutinib in relapsed chronic lymphocytic leukemia. N Engl J Med. 2013;369(1):32-42.
8. Mato AR, Hill BT, Lamanna N et al. Optimal sequencing of ibrutinib, idelalisib, and venetoclax in chronic lymphocytic leukemia: results from a large multicenter study. Am J Hematol. 2019;94(1):51-7.