Foco neurológico en paciente pediátrico con leucemia linfoblástica aguda
Neurological symptoms in a pediatric patient with acute lymphoblastic leukemia
Eleno Beierbach AP1, Rodríguez M1, Cuello MF2, Ruiz C2, Franchi ME3, Moran LE1, Soria ME1, Ferraro CL1, Novas FN1, Prada S1, Schwalb G1, Basack N1, Drelichman G1.
1Hospital de Niños Ricardo Gutiérrez, Buenos Aires, Argentina
2Hospital De Niños "Sor María Ludovica", La Plata, Argentina
3Hospital Universitario Austral, Buenos Aires, Argentina
Correo electrónico: paulyeleno89@gmail.com; leucemias.hnrg@gmail.com
Palabras claves: leucemia,
síndrome "símil ACV isquémico",
pediatría,
neurotoxicidad,
metotrexate.
Keywords: leukemia,
"stroke like" syndrome,
pediatrics,
neurotoxicity,
methotrexate.
Resumen
Se describe el caso de un paciente pediátrico con leucemia linfoblástica aguda T (LLA-T) que durante su tratamiento presenta síntomas neurológicos como efecto adverso asociado a la quimioterapia. Se discuten los posibles diagnósticos diferenciales, diagnóstico y conducta terapéutica a seguir.
Abstract
We present a case of a pediatric patient with T-acute lymphoblastic leukemia (T-ALL) who presented neurological symptoms as an adverse effect associated with chemotherapy. We discussed the possible differential diagnoses, diagnosis and therapeutic conduct to follow.
Paciente de sexo masculino, de 10 años de edad, sin antecedentes previos, que consulta por adenopatías cervicales bilaterales, sin respuesta al tratamiento antibiótico vía oral. Posteriormente agrega dificultad respiratoria, motivo por el cual concurre a nuestra institución. A su ingreso se realiza laboratorio completo que evidencia leucocitosis (GB: 89.100/mm3) con 63% de blastos, hemoglobina y plaquetas normales. Tomografía (TAC) de cuello y tórax sin contraste en donde se visualiza una masa sólida, heterogénea a nivel del mediastino anterosuperior y adenomegalias cervicales bilaterales y mediastinales.
Diagnóstico y estadificación:
Se realiza punción aspiración de médula ósea (PAMO), que evidencia infiltración del 96% por linfoblastos L1, ácido periódico de Schiff positivo granular fino y mieloperoxidasa negativa. Citometría de flujo: CD7 +/- (56%), CD5+, CD2+, CD3cit+, CD10+/-(80%), CD79a-, MPO-. Biología molecular: negativa. Citogenético: 46 XY [20].
Para completar estadificación, se realiza TAC de sistema nervioso central (SNC) y fondos de ojo dentro de parámetros normales. Punción lumbar (PL): cámara y citocentrifugado de LCR (CytoSpin) sin células patológicas.
El paciente inicia tratamiento según protocolo ALLIC-GATLA 2010. Presenta buena respuesta a la prednisona en el día 8 (413 blastos), enfermedad mínima residual (EMR) día 15 positiva (1.2%) y día 33 EMR negativa. Se asume paciente con LLA-T, status I de SNC, riesgo intermedio por edad, glóbulos blancos al diagnóstico y respuesta al día 15.
Complicaciones durante el tratamiento:
Según protocolo recibe cuatro dosis de metotrexate (MTX) a 5 gr/m2 en infusión continua de 24 horas acompañado de PL con MTX (12 mg) y dexametasona intratecal, con la correspondiente hiperhidratación, alcalinización y rescates con leucovorina. Las primeras tres infusiones no presentan complicaciones. Durante la cuarta presenta eliminación lenta del MTX, por lo que requiere dosajes hasta la hora 72 (Tabla 1), manteniendo tensión arterial y función renal normal.
Ocho días después de la infusión de la cuarta dosis de MTX, consulta en guardia por episodio de disartria de dos horas de evolución, sin otros síntomas acompañantes, afebril, normotenso, con recuperación ad integrum en las primeras 24 horas. Se realiza hemograma que evidencia leucopenia (GB 4.000/mm3), sin neutropenia y plaquetopenia (82.000/mm3). Laboratorio con reactantes de fase aguda, coagulograma, fibrinógeno, dímero D y PDF dentro de parámetros normales.
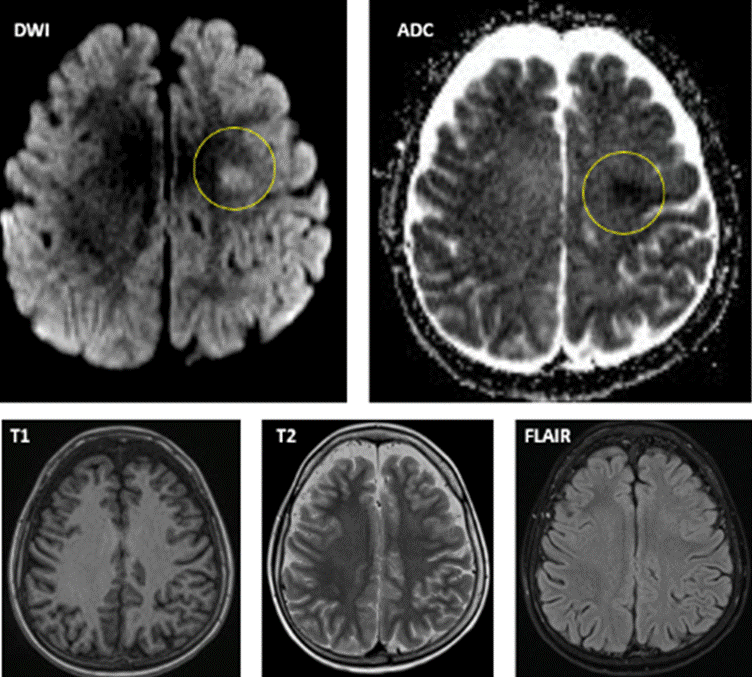
Se solicita resonancia magnética (RMN) de SNC con contraste. En la difusión se observa en sustancia blanca profunda de la circunvolución precentral izquierda, área bien circunscrita de restricción. El mapa ADC muestra la hipointeintensidad correspondiente. Dicho hallazgo carece de expresión en FLAIR. Imágenes compatibles con edema citotóxico por evento isquémico (Figura 1). Se complementa estudio con angioRMN de vasos intracerebrales, cuyo resultado no está disponible en ese momento.
Luego de una mejoría del cuadro clínico inicial, a las 24 horas evoluciona desfavorablemente con reagudización de la clínica, evidenciándose una parálisis central derecha, afasia de expresión y disartria. Se solicita TAC SNC que no evidencia focos de sangrado activo, ni cambios en la atenuación cerebral normal. Se realiza PL con citocentrifugado (CytoSpin), citoquímico y cultivos de LCR negativos.
Dado que presenta RMN de SNC que evidencia una lesión isquémica, TAC de SNC sin sangrado, angioRMN SNC cuyo informe aún no está disponible, se decide iniciar tratamiento con heparina de bajo peso molecular (HBPM) 110 UI/kg cada 12 horas y solicitar ecocardiograma y eco doppler de vasos de cuello a fin de descartar fuente embólica que pudiese estar asociada al cuadro.
Discusión del caso. Diagnósticos diferenciales en paciente con foco neurológico recibiendo quimioterapia.
La leucemia linfoblástica aguda (LLA) es la neoplasia maligna más frecuente en pediatría. Con la estrategia de terapia adaptada al riesgo y la intensificación de poliquimioterapia sistémica e intratecal (IT), en las últimas dos décadas los países desarrollados logran sobrevidas mayores al 90%(1). La intensificación de la terapia dirigida al SNC aumenta el riesgo de toxicidad(2).
Las complicaciones neurológicas más comunes son: leucoencefalopatía posterior reversible (PRES), síndrome símil ACV isquémico (“stroke like”) asociado a MTX, trombosis de seno venoso y ACV isquémico/hemorrágico(3).
La neurotoxicidad aguda y subaguda relacionada con el MTX es un efecto adverso bien documentado, a pesar de los rescates con leucovorina. Entre el 3% y el 11% de los pacientes que reciben MTX desarrollan síntomas asociados a neurotoxicidad(4-6), con presentación clínica variable. La mediana de tiempo desde el diagnóstico de LLA hasta el inicio de la neurotoxicidad es de 4 meses (rango 0 - 19 meses)(6) y típicamente ocurre entre 3 a 11 días posteriores a la administración sistémica o intratecal de MTX(7,8).
Leucoencefalopatía posterior reversible
La leucoencefalopatía posterior reversible (PRES) es un síndrome clínico-radiológico definido según los criterios de Ponte de Legno como la presencia de: cefalea transitoria, confusión, convulsiones y/o alteraciones visuales, asociados a alteraciones específicas en la RMN de SNC(9).
Su incidencia en LLA pediátrica varía entre 1,6% y 4,5% y usualmente ocurre durante los primeros tres meses de tratamiento(10,11). Si bien se han identificado múltiples factores de riesgo asociados al desarrollo de PRES, su fisiopatología aún es controvertida. Una teoría es que la hipertensión arterial altera la capacidad de los mecanismos autorreguladores de la vasculatura cerebral, lo que conduce a la extravasación de líquido en el parénquima cerebral y genera edema vasogénico(12).
Los síntomas neurológicos de PRES se pueden manifestar en forma aguda o subaguda. La presentación clínica típica incluye: déficit neurológico focal, déficit de la agudeza visual, signos y síntomas secundarios a la hipertensión endocraneal como cefalea, náuseas, vómitos o diplopía. Otras formas clínicas menos frecuentes son: hemiparesia, ataxia, temblor, dismetría y disdiadococinesia(13).
Las convulsiones son la manifestación clínica más frecuente, seguida de la alteración del sensorio, cefalea y alteración visual, asociadas a hipertensión arterial(11,14-16). Afecta típicamente la región parieto-occipital, aunque puede involucrar otras áreas, como el lóbulo frontal, temporal y fosa posterior(11,14,16). La RMN SNC (imagen de elección) muestra hiperintensidad en T2 (edema vasogénico) afectando predominantemente la sustancia blanca. Eventualmente puede mostrar signos de restricción en la difusión, hemorragia intracraneal y vasoconstricción(17,18).
Síndrome símil ACV isquémico
El consenso de Ponte di Legno define al símil ACV isquémico asociado a MTX como un síndrome que incluye las siguientes características: signos clínicos de déficit neurológico (paresia o parálisis), afasia o disartria, alteración del sensorio y/o convulsiones (éstas últimas siempre acompañadas de al menos uno de los otros síntomas); cambios característicos en la sustancia blanca en la RMN y no tener otra causa que lo justifique(9).
Dicha presentación debe ocurrir dentro de los 21 días posteriores a la administración intratecal o sistémica de MTX(9). El curso clínico es fluctuante, con resolución completa del mismo en aproximadamente una semana(9,19).
Si bien actualmente no hay una incidencia reportada, existen publicaciones de casos de neurotoxicidad que se presentan como síndrome símil ACV isquémico. En el protocolo Total XV (St Jude) 14 de 369 pacientes presentaron complicaciones neurológicas y de ellos 6 con síndrome símil ACV isquémico(8). En el ensayo de UKALL 2013, 31 pacientes presentaron síndrome símil ACV isquémico (de 90 encuestas)(19).
La fisiopatología es poco clara, se cree que es multifactorial. Existiría una alteración en la homeostasis de los folatos en el SNC y/o un daño neuronal directo(20,21). La inhibición de la dihidrofolato reductasa (DHFR) generaría afectación de la síntesis de mielina; aumento de los niveles de homocisteína en plasma y LCR. Esto genera toxicidad directa sobre el endotelio vascular. Estos metabolitos son agonistas del NMDA, disminuyendo la S-adenosilmetionina, que interviene en el mantenimiento de la vaina de mielina(22,23).
Los factores de riesgo identificados para el desarrollo de neurotoxicidad fueron: edad mayor a 10 años, origen hispano, aumento de aspartato aminotransferasa sérica (grado 3) en inducción/consolidación, y la administración concomitante con ciclofosfamida y citarabina sistémica(6,24,19).
El diagnóstico en fase aguda se realiza con RMN de SNC con difusión(25). Se observa en la sustancia blanca profunda (principalmente frontal y parietal) lesiones evidentes en difusión (edema citotóxico que restringe en difusión) y en el mapa del coeficiente de difusión aparente (ADC), con poca expresión en FLAIR y T2(9,26,27). Las alteraciones observadas en la difusión pueden ser transitorias, por tal motivo una RMN normal no excluye el diagnóstico de neurotoxicidad por MTX(25). La TAC SNC en general no es necesario realizarla, excepto en casos de síntomas sugestivos de sangrado.
Eventos trombóticos asociados a quimioterapia
Otras complicaciones neurológicas en los pacientes con LLA que reciben tratamiento con corticoides y L-asparaginasa, son los eventos trombóticos. Su incidencia varía del 1% al 36% en los diferentes estudios, dependiendo de la edad, protocolos de tratamiento utilizados, si se trata de una trombosis sintomática o asintomática y el método de tamizaje utilizado(28,29). En cuanto a la localización, según un metanálisis de estudios prospectivos realizado por Caruso et al. se encontró que dentro de los eventos trombóticos, el 53% presentó trombosis a nivel de SNC(30). Los eventos tromboembólicos cerebrovasculares (accidentes cerebrovasculares: ACV) son definidos como trastornos vasculares que determinan un déficit neurológico que dura más de 24 horas(31). La trombosis vascular es responsable del ACV isquémico, puede ser arterial (stroke) o por trombosis del seno venoso(32).
Según un estudio multicéntrico retrospectivo que incluyó 2318 pacientes tratados según el protocolo AEIOP 1991-1995, la prevalencia de ACV isquémico sintomático fue del 0,47%, y todos se presentaron con trombosis de seno venoso, la mayoría de los casos ocurrieron en inducción, con una mediana de edad de 9 años (rango: 4 a 16 años)(32). Según otros estudios, la incidencia de trombosis de seno venoso es de 1,1% al 2,9%(30,33,34). La forma de presentación más frecuente es un déficit neurológico agudo, convulsiones y cefalea.
Se han descrito múltiples factores de riesgo para el desarrollo de trombosis, entre ellos se encuentran: la edad (10 a 18 años), la utilización de L-asparaginasa (derivadas de E. Coli mayor riesgo que Erwinia) y el uso concomitante con corticoides(30,35,36).
Para su diagnóstico y seguimiento, el patrón oro es la RMN con y sin contraste(32). En la TAC, los signos directos e indirectos de trombosis de seno venoso están bien documentados pero a menudo no se identifican de inmediato(37). La RMN es más sensible que la TAC para el diagnóstico de infarto cerebral dentro de las primeras 24 horas e igualmente precisa para el diagnóstico de hemorragia. Por tal motivo, ante la sospecha de una trombosis de seno venoso en niños, la RMN con y sin contraste debe realizarse lo antes posible, de no poder realizarla, la TAC es obligatoria para excluir sangrado(31).
Continuación del caso clínico: diagnóstico y tratamiento
El paciente evoluciona favorablemente con resolución completa de los síntomas neurológicos a las 48 horas. Se recibe informe de la angioRMN de vasos intracerebrales, solicitada previamente, que no evidencia compromiso vascular, trombosis o estenosis en vasos de mediano y gran calibre. Ecocardiograma y eco doppler de vasos de cuello dentro de parámetros normales. Con una RMN de SNC que evidencia una lesión en sustancia blanca profunda de la circunvolución precentral izquierda que restringen en difusión y habiendo descartado sangrado y causa embólica, y con la evolución clínica del paciente, se asume como síndrome símil ACV isquémico asociado a MTX. Se decide suspender el tratamiento con HBPM y continuar la quimioterapia según protocolo. El paciente finalizó el tratamiento habiendo realizado todas las PL correspondientes con la aplicación IT de MTX, sin presentar nuevo episodio. Actualmente se encuentra fuera de tratamiento desde hace 8 meses en remisión completa y sin secuelas.
¿Cuándo y cómo continuar el tratamiento?
Si bien la optimización de los tratamientos ha permitido sustituir en muchos casos la radioterapia craneal, la neurotoxicidad continúa siendo una causa frecuente de morbilidad y retraso en la continuidad de los tratamientos(25). Los síntomas neurológicos frecuentemente son transitorios, con resolución completa de los mismos al cabo de pocos días. Sin embargo, en un pequeño grupo de pacientes con síndrome símil ACV isquémico, la recuperación puede llevar meses intensos de rehabilitación hasta la recuperación completa(19). La omisión del MTX como terapia dirigida al SNC después de un episodio de neurotoxicidad, aumenta el riesgo de recaída en SNC. Según una cohorte australiana que incluyó 1251 pacientes, la incidencia acumulada de recaída en el SNC aumentó en aquellos niños en los que se omitió la administración de MTX intratecal luego de un episodio de neurotoxicidad, comparado con aquéllos que continuaron con MTX intratecal durante todo el tratamiento (P=0,047). La sobrevida libre de recaídas en el SNC a 5 años fue del 89,2±4,6% cuando se interrumpió el MTX intratecal frente a 95,4±0,6% cuando se continuó con MTX intratecal, y la recurrencia de la neurotoxicidad por MTX fue baja (12,9%) luego de la reexposición(6). Estos datos demuestran la importancia de continuar el tratamiento con MTX. Múltiples estudios han demostrado que es posible la re exposición al MTX después del primer episodio de neurotoxicidad, y entre el 82% y el 92% de los pacientes no presentan recurrencia de los síntomas(38,19). Por tal motivo, la administración de MTX sólo debe suspenderse hasta la recuperación clínica, habitualmente menos de 7 días, sólo para unos pocos pacientes esto debería implicar un retraso de 1 a 2 semanas de tratamiento(25). Los cambios en la sustancia blanca pueden persistir en el tiempo, por lo que no debería esperarse la resolución de la RMN para la nueva exposición al MTX(25).
Para la re exposición no existen estudios randomizados que evalúen el beneficio de una profilaxis secundaria. Sin embargo se sabe que existe una fuerte evidencia clínica de que la administración de leucovorina disminuye la incidencia de neurotoxicidad asociada a MTX(39,40). Una opción sería utilizar dos rescates con leucovorina (5 mg/m2/dosis) en horas 24 y 30 luego de la administración intratecal de MTX. Dichos rescates no se realizan indefinidamente si el paciente no vuelve a presentar episodios(25).
Debido a la poca frecuencia de la recurrencia ante una nueva exposición a la droga, no existen guías que evalúen la continuidad del tratamiento con MTX. En el estudio de UKALL 2003, 4 pacientes fueron re expuestos a MTX después de un segundo episodio símil ACV isquémico con recuperación completa. De éstos, 3 pacientes toleraron adecuadamente el tratamiento y 1 paciente presentó un déficit neurológico permanente(19). En estos casos debe realizarse un enfoque individualizado evaluando riesgo/beneficio de cada paciente.
Conclusiones
Podemos concluir que: dentro de la neurotoxicidad asociada a MTX, la presentación como PRES es lo más frecuente. El síndrome símil ACV isquémico es una complicación subaguda poco frecuente, por lo que debemos tener un alto índice de sospecha para solicitar los estudios complementarios y descartar otras etiologías que requieran un tratamiento específico. Habitualmente es reversible y no contraindica la continuidad del tratamiento intratecal o sistémico con MTX.
Bibliografía
1. Pui C-H, Yang JJ, Hunger SP, Pieters R et al. Childhood Acute Lymphoblastic Leukemia:Progress Through Collaboration. J Clin Oncol. 2015;33(27):2938-2948.
2. Millan NC, Pastrana A, Guitter MR, Zubizarreta PA, Monges MS, Felice MS. Acute and sub-acute neurological toxicity in children treated for acute lymphoblastic leukemia. Leuk Res. 2018 Feb;65:86-93.
3. Banerjee J, Niinimäki R, Lähteenmäki P, Hed Myrberg I et al. The spectrum of acute central nervous system symptoms during the treatment of childhood acute lymphoblastic leukaemia. Pediatr Blood Cancer. 2020 Feb;67(2):e27999.
4. Parasole R, Petruzziello F, Menna G, Mangione A et al. Central nervous system complications during treatment of acute lymphoblastic leukemia in a single pediatric institution. Leukemia & Lymphoma. 2010 Jun;51(6) 1063-1071.
5. Baytan B, Evim MS, Güler S, Güneş AM, Okan M. Acute Central Nervous System Complications in Pediatric Acute Lymphoblastic Leukemia. Pediatr Neurol. 2015 Oct;53(4):312-318.
6. Mateos MK, Marshall GM, Barbaro PM, Quinn MCJ et al. Methotrexate-related central neurotoxicity:clinical characteristics, risk factors and genome-wide association study in children treated for acute lymphoblastic leukemia. Haematologica. 2022 Mar;107(3):635-643.
7. Rubnitz JE, Relling MV, Harrison PL, Sandlund JT et al. Transient encephalopathy following high-dose methotrexate treatment in childhood acute lymphoblastic leukemia. Leukemia. 1998 Aug;12(8):1176-1181.
8. Bhojwani D, Sabin ND, Pei D, Yang JJ et al. Methotrexate-induced neurotoxicity and leukoencephalopathy in childhood acute lymphoblastic leukemia. J Clin Oncol. 2014;32:949-959.
9. Schmiegelow K, Attarbaschi A, Barzilai S, Escherich G et al. Consensus definitions of 14 severe acute toxic effects for childhood lymphoblastic leukaemia treatment:a Delphi consensus. Lancet Oncol. 2016;17:e231-e239.
10. Kim SJ, Im SA, Lee JW, Chung NG et al. Predisposing factors of posterior reversible encephalopathy syndrome in acute childhood leukemia. Pediatr Neurol. 2012;47:436-442.
11. Anastasopoulou S, Eriksson MA, Heyman M, Wang C et al. Posterior reversible encephalopathy syndrome in children with acute lymphoblastic leukemia: Clinical characteristics, risk factors, course, and outcome of disease. Pediatr Blood Cancer. 2019;66:e27594.
12. Granata G, Greco A, Iannella G, Granata M et al. Posterior reversible encephalopathy syndrome--Insight into pathogenesis, clinical variants and treatment approaches. Autoimmun Rev. 2015;14:830-836.
13. Ghali MGZ, Davanzo J, Leo M, Rizk E. Posterior reversible encephalopathy syndrome in pediatric patients:pathophysiology, diagnosis, and management. Leuk Lymphoma. 2019;60:2365-2372.
14. Hafez HA, Ragab I, Sedky M, Shams M et al. Patterns, risk factors and outcome predictors of posterior reversible encephalopathy syndrome in pediatric cancer patients. Leuk Lymphoma. 2021;62:462-468.
15. Cordelli DM, Marra C, Ciampoli L, Barbon D et al. Posterior Reversible Encephalopathy Syndrome in infants and young children. Eur J Paediatr Neurol. 2021;30:128-133.
16. McKinney AM, Short J, Truwit CL, McKinney ZJ et al. Posterior reversible encephalopathy syndrome:incidence of atypical regions of involvement and imaging findings. AJR Am J Roentgenol. 2007;189:904-912.
17. Fugate JE, Rabinstein AA. Posterior reversible encephalopathy syndrome: clinical and radiological manifestations, pathophysiology, and outstanding questions. Lancet Neurol. 2015;14:914-925.
18. Ni J, Zhou L-X, Hao H-L, Liu Q et al. The clinical and radiological spectrum of posterior reversible encephalopathy syndrome: a retrospective series of 24 patients. J Neuroimaging. 2011;21:219-224.
19. Bond J, Hough R, Moppett J, Vora A, Mitchell C, Goulden N. “Stroke-like syndrome” caused by intrathecal methotrexate in patients treated during the UKALL 2003 trial. Leukemia. 2013; 27(4):954-956.
20. Cole PD, Beckwith KA, Vijayanathan V, Roychowdhury S, Smith AK, Kamen BA. Folate homeostasis in cerebrospinal fluid during therapy for acute lymphoblastic leukemia. Pediatr Neurol. 2009;40:34-41.
21. Kishi S, Griener J, Cheng C, Das S et al. Homocysteine, pharmacogenetics, and neurotoxicity in children with leukemia. J Clin Oncol. 2003;21:3084-3091.
22. Quinn CT, Griener JC, Bottiglieri T, Arning E, Winick NJ. Effects of Intraventricular Methotrexate on Folate, Adenosine, and Homocysteine Metabolism in Cerebrospinal Fluid. Journal of Pediatric Hematology/Oncology. 2004;26(6):386-388.
23. Quinn CT, Griener JC, Bottiglieri T, Hyland K, Farrow A, Kamen BA. Elevation of homocysteine and excitatory amino acid neurotransmitters in the CSF of children who receive methotrexate for the treatment of cancer. Journal of Clinical Oncology. 1997;15(8):2800-2806.
24. Taylor OA, Brown AL, Brackett J, Dreyer ZE et al. Disparities in Neurotoxicity Risk and Outcomes among Pediatric Acute Lymphoblastic Leukemia Patients. Clinical Cancer Research. 2018;34(20):5012-5017.
25. Bhojwani D, Bansal R, Wayne AS. Managing therapy-associated neurotoxicity in children with ALL. Hematology. 2021;2021(1):376-383.
26. Watanabe K, Arakawa Y, Oguma E, Uehara T et al. Characteristics of methotrexate-induced stroke-like neurotoxicity. International Journal of Hematology. 2018;108(6):630-636.
27. Rollins N, Winick N, Bash R, Booth T. Acute methotrexate neurotoxicity:findings on diffusion-weighted imaging and correlation with clinical outcome. Am J Neuroradiol. 2004;25:1688-1695.
28. Athale UH, Chan AKC. Thrombosis in children with acute lymphoblastic leukemia. Thrombosis Research. 2003;111(3):125-131.
29. Nowak-Göttl U, Kenet G, Mitchell LG. Thrombosis in childhood acute lymphoblastic leukaemia: epidemiology, aetiology, diagnosis, prevention and treatment. Best Practice & Research Clinical Haematology. 2009;22(1):103-114.
30. Caruso V, Iacoviello L, Di Castelnuovo A, Storti S et al. Thrombotic complications in childhood acute lymphoblastic leukemia: a meta-analysis of 17 prospective studies comprising 1752 pediatric patients. Blood. 2006;108:2216-2222.
31. Kirkham FJ. Stroke in childhood. Arch Dis Child. 1999;81:85-89.
32. Santoro N, Giordano P, Del Vecchio GC, Guido G et al. Ischemic Stroke in Children Treated for Acute Lymphoblastic Leukemia. Journal of Pediatric Hematology/Oncology. 2005;27(3):153-157.
33. Qureshi A, Mitchell C, Richards S, Vora A, Goulden N. Asparaginase-related venous thrombosis in UKALL 2003- re-exposure to asparaginase is feasible and safe. British Journal of Haematology. 2010;149(3):410-413.
34. Musgrave KM, van Delft FW, Avery PJ, Clack RM et al. Cerebral sinovenous thrombosis in children and young adults with acute lymphoblastic leukaemia - a cohort study from the United Kingdom. British Journal of Haematology. 2017;179(4):667-669.
35. Ranta S, Tuckuviene R, Mäkipernaa A, Albertsen BK et al. Cerebral sinus venous thromboses in children with acute lymphoblastic leukaemia - a multicentre study from the Nordic Society of Paediatric Haematology and Oncology. British Journal of Haematology. 2015;168(4):547-552.
36. Rank CU, Toft N, Tuckuviene R, Grell K et al. Thromboembolism in acute lymphoblastic leukemia:results of NOPHO ALL2008 protocol treatment in patients aged 1 to 45 years. Blood. 2018;131:2475-2484.
37. Bianchi D, Maeder P, Bogousslavsky J, Schnyder P, Meuli RA. Diagnosis of cerebral venous thrombosis with routine magnetic resonance:an update. Eur Neurol. 1998;40:179-190.
38. Badke C, Fleming A, Iqbal A, Khilji O et al. Rechallenging With Intrathecal Methotrexate After Developing Subacute Neurotoxicity in Children With Hematologic Malignancies. Pediatr Blood Cancer. 2016;63:723-726.
39. Mahoney DH Jr, Shuster JJ, Nitschke R, Lauer SJ et al. Acute neurotoxicity in children with B-precursor acute lymphoid leukemia:an association with intermediate-dose intravenous methotrexate and intrathecal triple therapy--a Pediatric Oncology Group study. J Clin Oncol. 1998;16:1712-1722.
40. Cohen IJ. Neurotoxicity after high-dose methotrexate (MTX) is adequately explained by insufficient folinic acid rescue. Cancer Chemotherapy and Pharmacology. 2017;79(6):1057-1065.
Tabla 1. Dosajes de MTX
|
Hora |
Nivel plasmático (umol/l) |
|
Hora 24 |
13,19 umol/l |
|
Hora 42 |
0,93 umol/l |
|
Hora 48 |
0,7 umol/l |
|
Hora 54 |
0,64 umol/l |
|
Hora 72 |
0,25 umol/l |
Figura 1. RMN de SNC con contraste: en la técnica de difusión se observa en sustancia blanca profunda de la circunvolución pre central izquierda un área bien circunscripta de restricción. El mapa ADC muestra la hipointeintensidad correspondiente. Dicho hallazgo carece de expresión en FLAIR.
