Neoplasia de células dendríticas plasmocitoides
Blastic plasmocitoid dendritic cell neoplasm
Cismondi V1; Crudo C1; Gómez M 1; Santorum C2; Garavaglia G3; Arias M1
1 Laboratorio de Hematología, sector Citometría de Flujo, Hospital Milstein.
2 Servicio de Hematología, Hospital Milstein.
3 Servicio de Patología. Hospital Español.
Unidad Asistencial Dr. César Milstein -PAMI
valecismondi@hotmail.com
Palabras clave: citometría de flujo,
células dendríticas,
leucemia aguda.
Keywords: flow cytometry,
dendritic cells,
acute leukemia.
Resumen
La neoplasia de células dendríticas plasmocitoides o BPCDN (blastic plasmocytoid dendritic cell neoplasm) es una patología hematológica maligna poco frecuente y muy agresiva. Afecta con mayor frecuencia al género masculino a partir de la sexta década de la vida. Se manifiesta generalmente con lesiones cutáneas con posterior compromiso de la médula ósea, sangre periférica y afectación neuromeníngea. Se describe el caso de un paciente masculino de 73 años, con cuadro de astenia, adinamia, anemia marcada y lesiones en piel a nivel del tórax, compatibles con leucemides. Se realizaron estudios de citometría de flujo (CF), medulograma, estudio citogenético en médula ósea (MO) y biopsia de las lesiones cutáneas. El inmunofenotipo por CF fue compatible con una BPCDN. Se comenzó tratamiento y actualmente el paciente presenta enfermedad mínima residual no detectable.
Summary
Plasmacytoid dendritic cell neoplasm or BPCDN (blastic plasmacytoid dendritic cell neoplasm) is a rare and very aggressive malignant hematological pathology. It affects more frequently the male gender from the sixth decade of life. It generally manifests with skin lesions with subsequent involvement of the bone marrow, peripheral blood and neuromeningeal involvement. We report the case of a 73-year-old male patient, with asthenia, adynamia, anemia and skin lesions at the level of the chest that could be compatible with leukemias. Flow cytometry (CF), karyotype and morphology in bone marrow, and biopsy of skin lesions were performed. The CF immunophenotype reported a BPCDN. Treatment was started and the patient currently has undetectable minimal residual disease
Introducción
La neoplasia de células dendríticas o BPCDN, por sus siglas en inglés, es una neoplasia hematológica que se caracteriza por su comportamiento agresivo, rápida diseminación sistémica y una sobrevida media de 12 a 16 meses. Su incidencia es baja, menos del 1% de las neoplasias malignas, siendo mayor en el género masculino, con relación de 3:1, y con mayor prevalencia en la sexta década de vida(1). Las manifestaciones clínicas de la enfermedad son heterogéneas, si bien su manifestación más común es cutánea (64-100%) seguida de compromiso de la médula ósea y sangre periférica (60-90%) y ganglios linfáticos (40-50%). El compromiso del sistema nervioso central es frecuente, se observa en 4 a 9% de los pacientes al momento del diagnóstico y en 17 a 33% de los pacientes con recaída(2-4). En su forma cutánea representa el 0.7% de los linfomas cutáneos, mientas que la manifestación leucémica representa menos del 0.44% de los casos de leucemia aguda. Aproximadamente 10-20% de los casos de BPCDN pueden asociarse a otras neoplasias mieloides, como leucemia mielomonocítica crónica, síndrome mielodisplásico o leucemia mieloide aguda(1-4).
Las células de la BPDCN se caracterizan por la expresión de CD4, CD56, CD43, CD4RA, HLADR y antígenos asociados a célula dendrítica como CD123, CD303 (BDCA-2), TCL1A, CD2A y SPIB, en ausencia de marcadores específicos de otros linajes celulares. Se suele observar expresión de CD7, CD2, CD5, CD36 y CD33 dentro de los antígenos asociados a linaje linfoide y mieloide(1,5,6). El inmunofenotipo por CF tiene la ventaja de poder seleccionar la población de interés y evaluar la intensidad de expresión antigénica, por lo que resulta de gran utilidad en esta neoplasia. La expresión de CD4, CD56, CD45RA, HLADR y CD123 es considerada patognomónica de BPDCN junto con la expresión de CD303(1,5,6).
Existen neoplasias que pueden compartir características morfológicas y genotípicas con la BPDCN, como la leucemia mieloide aguda con diferenciación monocítica, que puede expresar CD4, CD56 y CD123, por lo que debe realizarse un panel completo para el diagnóstico diferencial de estas patologías(1,5).
No existe un protocolo terapéutico estandarizado para este tipo de patología, sin embargo se han observado mejores tasas de supervivencia y desenlaces con protocolos tipo LLA con posterior consolidación con TPH. A pesar de una buena respuesta inicial, el pronóstico es adverso con supervivencia que no supera los 12 meses en pacientes que han recibido los protocolos de tratamiento estándar. Según la guías del NCNN el tratamiento de la leucemia de células dendríticas, dada su baja incidencia, queda a consideración del manejo de un equipo multidisciplinario de acuerdo a la experiencia del centro en el tratamiento de dicha enfermedad, sin embargo sugieren tratamientos con protocolos como HyperCVAD con consolidación con TPH o el uso de tagraxofusp, citotoxina dirigida contra CD123, medicamento no disponible en la Argentina(2-4).
El venetoclax es una terapia experimental con actividad frente a la leucemia de células dendríticas, logrando con dicho tratamiento respuesta, incluso en pacientes recaídos/refractarios. El uso de venetoclax en pacientes con leucemia de células dendríticas se basa en el mecanismo proapoptótico de dicha molécula que, según descripción para su aprobación para el tratamiento de LMA, tiene actividad en distintas mutaciones, como en el caso de TP53 e IDH. La mayor experiencia terapéutica con el uso de venetoclax en pacientes con leucemia de células dendríticas se evalúa en el MD Anderson Cáncer Center dada la alta expresión de BCL2 en las células leucémicas dendríticas. Además el venetoclax no sólo actuaría como terapia dirigida sino como sensibilizante para mejorar respuesta a otras terapias(2-4).
Caso clínico
Paciente de sexo masculino de 73 años, que ingresó por guardia, con cuadro de astenia, adinamia, anemia marcada, afebril, normotenso y sin sangrados; con antecedentes de hipertensión arterial, cirugía de vesícula y hemorragia digestiva alta por doble úlcera duodenal, esofagitis y síndrome de ansiedad. Al examen físico presentó algunas lesiones en piel eritematovioláceas a nivel del tórax que podrían corresponder a leucemides. Una TAC anterior al ingreso al servicio de urgencias mostraba adenopatías en ambas cadenas inguinales, en regiones axilares y espacio pericardicodiafragmático derecho y esplenomegalia de 20.5 cm. El paciente refirió cuadro clínico de un año de evolución con bicitopenia y estar medicado con enalapril, atenolol, rivotril, fluoxetina y ranitidina. Se realizó laboratorio que informó hemoglobina de 6 g/dL con hematocrito de 19.5%, leucocitos totales aumentados (18 x 103/uL) y recuento de plaquetas (72 x 103/uL). Inició transfusión con 2 unidades de glóbulos rojos.
Se derivó el paciente al Servicio de Hematología del hospital y se realizó nuevo hemograma que presentó: hematocrito: 23%, leucocitos 10 x 103/uL y plaquetas: 40 x 103/uL. El análisis morfológico informó en la serie roja marcada hipocromía con marcada anisopoiquilocitosis (dianocitos, equinocitos, ovalocitos), en serie blanca se observó más del 50% de células atípicas compatibles con blastos y algunas macroplaquetas.
Se realizó citometría de flujo en sangre periférica (SP) con un citómetro Navios Ex Beckman Coulter, 2 láser, 8 colores y programa de análisis Infinicyt v2.0 con un panel diseñado siguiendo los lineamientos de Euroflow(7). Se encontró una población que comprendía el 75 % de la celularidad, de mediano tamaño, expresión débil de CD45 y con fuerte intensidad en la expresión de HLADR++, CD56++, CD4++, CD123+++, CD45RA+, compatible con una neoplasia de célula dendrítica plasmocitoide. Se observó positividad además para CD38, CD36, CD43, CD1a, CD7, y positividad débil para CD5 (Figura 1). Las células fueron negativas para CD34 y CD117 asi como para marcadores de linaje monocítico (CD64, CD14, CD300e), granulocítico (CD15, CD16, CD11b, MPO), eritroide (CD105, CD71) y linfoide B y T (CD3cit, CD19, CD79a cit). En la serie monocítica se observó expresión aberrante de CD56.
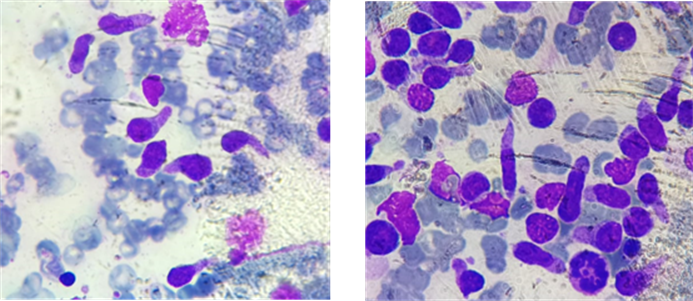
En la CF de MO se informó un 95% de células con inmunofenotipo similar al descripto en SP, mientras que en el medulograma se observó un 92% de células atípicas, de las cuales 78% eran de mediano a gran tamaño, mononucleares, algunos con alta relación núcleo:citoplasma, citoplasma basófilo, núcleo excéntrico, cromatina laxa con presencia de 1 o más nucléolos, algunos con vacuolas, pseudópodos y prolongaciones citoplasmáticas, compatibles con células dendríticas, un 20% presentaba morfología tipo monoblasto y un 2% morfología similar a linfoblastos (Figura 2), con una relación mielo/eritroide en la celularidad remanente igual a 1. El cariotipo fue 46, XY.

Figura 1. Citometría de flujo en SP. Se observa en rojo la población de blastos de origen dendrítico plasmocitoide. Se observan los linfocitos en azul, los granulocitos neutrófilos en magenta, monocitos en celeste, basófilos en amarillo.

Figura 2. Morfología de las células dendríticas en MO (40x)
En el estudio histopatológico se observó una MO con celularidad aumentada para la edad (80%) a expensas de una proliferación celular atípica dispuesta en patrón difuso, con elementos celulares de núcleo ovoide de cromatina laxa y citoplasma eosinófilo. La inmunomarcación fue positiva para CD4, CD5, CD45 (débil) y CD56; y negativa para MPO, CD20, CD10, CD3, CD138, CD68, CD34, CD117, CD71, CD10. El CD123 se encontraba pendiente de confirmación. El Ki67 fue de 5% en la proliferación atípica.
En el LCR no se detectó presencia de enfermedad por CF, mientras que en la biopsia de las lesiones de piel se observó la presencia de un 94% de células dendríticas blásticas con fenotipo similar al descripto inicialmente en la SP.
En el contexto de leucemia aguda se inició tratamiento con corticoides previa protección con omeprazol. Se indicó aislamiento para paciente neutropénico más profilaxis antimicrobiana con aciclovir y trimetoprim/sulfametoxazol. Se inició tratamiento con venetoclax terminando el 3er. ciclo para el momento de la redacción de este artículo. Actualmente el paciente presenta enfermedad mínima residual no detectable por CF, si bien en el último inmunofenotipo que se realizó se observó expresión aberrante de CD56 en serie monocítica.
Conclusión
La neoplasia de células dendríticas es una neoplasia catalogada desde el año 2016 como una entidad independiente(1), de comportamiento agresivo y mal pronóstico. La evolución del paciente depende de diversos factores, entre ellos el tratamiento, la respuesta del organismo a este tratamiento y la etapa en que se diagnostique la enfermedad(8). En los casos reportados en la literatura(5,8) se expone la importancia del diagnóstico diferencial con otras neoplasias hematológicas utilizando técnicas de laboratorio específicas como la histopatología, la biología molecular y la citometría de flujo, aportando ésta última la mayor celeridad en la caracterización de la entidad. En la actualidad, con el advenimiento de la inmunoterapia, existen nuevos tratamientos(2-4) que muestran resultados promisorios para mejorar el pronóstico de esta enfermedad.
Siendo ésta una patología con muy baja frecuencia de presentación y sin un tratamiento estandarizado, la evolución clínica en el paciente que describimos ha superado las expectativas del tratamiento hasta el momento.
Declaración de conflictos de intereses: los autores declaran no poseer conflictos de intereses.
Bibliografía
1. Facchetti F, Petrella T, Pileri SA. Blastic plasmocitoid dendritic cell neoplasm. Swerdlow JS, Campos E, Harris N, Jaffe E et al. WHO classification of Tumours of Haematopoietic and Lymphoid Tissues. 2017; Chapter 9:174-177.
2. ChengW, Yu T, Tang Ai-ping, He Young K, Yu L. Blastic Plasmacytoid Dendritic Cell Neoplasm: Progress in Cell Origin, Molecular Biology, Diagnostic Criteria and Therapeutic Approaches. Current Medical Science. 41(3):2021.
3. Sapienza MR, Pileri A, Derenzini E et al. Blastic Plasmacytoid Dendritic Cell Neoplasm: State of the Art and Prospects. Cancers (Basel). 2019 Apr 28;11(5):595.
4. Pagano L, Valentini C, Sara Grammatico S, Pulsoni A. Blastic plasmacytoid dendritic cell neoplasm: diagnostic criteria and therapeutical approaches. British Journal of Haematology. 2016;174:188-202.
5. Bueno C, Almeida J, Lucio P et al. Incidence and characteristics of CD4+/HLA DRhi dendritic cell malignancies. Haematologica. 2004;89:58-69.
6. Wang W, Khoury J, Miranda R et al. Immunophenotypic characterization of reactive and neoplastic plasmacytoid dendritic cells permits establishment of a ten-color flow cytometric panel for initial workup and residual disease evaluation of blastic plasmacytoid dendritic cell neoplasm. Haematologica. 2021 Apr 1;106(4):1047-1055.
7. Van Dongen JJM, Lhermitte L, Bottcher S et al. EuroFlow antibody panels for standardized n-dimensional flow cytometric immunophenotyping of normal, reactive and malignant leukocytes. Leukemia. 2012 Sep;26(9):1908-75.
8. Pagano L, Valentini CG, Pulsoni A et al. Blastic plasmacytoid dendritic cell neoplasm with leukemic presentation: an Italian multicenter study. Haematologica. 2013;98:239-246.